هنر سلامت
0

کدام پرکننده دندان ماندگارتر است؟ آمالگام یا کامپوزیت؟

کدام پرکننده دندان ماندگارتر است؟ آمالگام یا کامپوزیت؟
بازدید 60

کدام پرکننده دندان ماندگارتر است؟ آمالگام یا کامپوزیت؟

آمالگام یا کامپوزیت, پر کردن دندان با کامپوزیت

آمالگام یا کامپوزیت دو ماده اصلی پرکننده دندان هستند

 

تفاوت آمالگام و کامپوزیت؛ کدام ماده برای ترمیم دندان بهتر است؟

تفاوت آمالگام یا کامپوزیت یکی از رایج‌ترین سوالات بیماران هنگام پر کردن دندان است.
این دو ماده پرکننده اصلی دندان هر کدام مزایا و معایب خاص خود را دارند. در این مقاله از بیتوته به مقایسه دقیق آن‌ها می‌پردازیم. با خواندن این مطلب بهترین انتخاب برای دندان خود را خواهید شناخت.

پوسیدگی دندان یکی از شایع‌ترین مشکلات دهان و دندان است و پس از برداشتن بافت پوسیده، فضای خالی ایجادشده باید با ماده‌ای مقاوم پر شود تا دندان حفظ شود و عملکرد جویدن و زیبایی آن بازگردد. 

دو ماده پرکننده اصلی در دندانپزشکی ترمیمی، آمالگام (معروف به پرکننده نقره‌ای یا فلزی) و کامپوزیت رزین (معروف به پرکننده سفید یا هم‌رنگ دندان) هستند. هر کدام مزایا، معایب و کاربردهای خاص خود را دارند و انتخاب بین آن‌ها به عوامل مختلفی مانند موقعیت دندان، اندازه حفره، بودجه، زیبایی، عادات بیمار (مانند دندان قروچه) و نگرانی‌های زیست‌محیطی بستگی دارد.

 

در سال‌های اخیر، با پیشرفت مواد کامپوزیت و تصمیم جهانی برای حذف تدریجی آمالگام (به دلیل جیوه)، کامپوزیت به گزینه غالب تبدیل شده است. اما آیا واقعاً کامپوزیت همیشه بهتر است؟ در ادامه به بررسی جامع تفاوت‌ها می‌پردازیم.

 

آمالگام یا کامپوزیت, پر کردن دندان با کامپوزیت

آمالگام فلزی و نقره‌ای رنگ است و دوام بالایی دارد

 

ترکیب و نحوه عملکرد مواد 

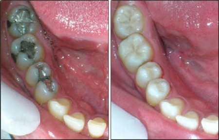
• آمالگام: مخلوطی از فلزات (حدود ۵۰٪ جیوه، نقره، قلع، مس و روی) است که به صورت شیمیایی واکنش می‌دهد و سخت می‌شود. این ماده سنتی بیش از ۱۵۰ سال در دندانپزشکی استفاده شده و بسیار مقاوم است.

 

• کامپوزیت: ترکیبی از رزین پلاستیکی (پلیمر) و ذرات شیشه یا سرامیک است. با تابش نور آبی مخصوص (لایت کیور) پلیمریزه و سخت می‌شود و مستقیماً به ساختار دندان می‌چسبد (باندینگ).

 

مقایسه ظاهری (زیبایی‌شناسی) 

• آمالگام: رنگ فلزی/نقره‌ای تیره دارد و در دندان‌های جلویی یا هنگام لبخند زدن کاملاً قابل مشاهده است. برای دندان‌های عقبی (که کمتر دیده می‌شوند) معمولاً مشکلی ایجاد نمی‌کند.

 

• کامپوزیت: هم‌رنگ طبیعی دندان است، کاملاً نامحسوس بوده و ظاهر زیبایی به دندان می‌دهد. حتی می‌توان از آن برای اصلاح شکل، اندازه دندان یا بهبود طرح لبخند استفاده کرد.

  

• برنده زیبایی: کامپوزیت (به ویژه برای دندان‌های جلویی یا افرادی که به ظاهر اهمیت می‌دهند).

 

آمالگام یا کامپوزیت, پر کردن دندان با کامپوزیت

کامپوزیت هزینه بیشتری دارد و زیبایی بالاتری ارائه می‌دهد

 

استحکام، دوام و ماندگاری

• آمالگام: بسیار مقاوم در برابر فشار جویدن سنگین، ترک و سایش است. مطالعات اخیر نشان می‌دهد میانگین بقای آن بیش از ۱۶ سال است (در مقابل ۱۱ سال برای کامپوزیت در برخی موارد). برای دندان‌های عقبی (مولرها) و بیماران با دندان قروچه یا اختلال TMJ ایده‌آل است.

 

• کامپوزیت: استحکام خوبی دارد و برای حفره‌های کوچک تا متوسط عالی است، اما در برابر نیروی شدید مقاومت کمتری دارد. دوام متوسط آن ۵–۱۰ سال (گاهی تا ۱۵ سال با مواد جدید) است. پیشرفت‌های اخیر (مانند bulk-fill و نانوذرات) نرخ شکست را کاهش داده و برخی مطالعات بزرگ‌داده نشان می‌دهند نرخ جایگزینی کامپوزیت گاهی کمتر از آمالگام است.

 

• برنده دوام: آمالگام هنوز در دندان‌های عقبی و حفره‌های بزرگ برتر است، اما کامپوزیت با پیشرفت تکنولوژی فاصله را کم کرده.

 

حفظ ساختار دندان و روش قرارگیری 

• آمالگام: نیاز به تراش بیشتر دندان سالم دارد تا پرکننده محکم شود (ساختار دندان بیشتر از بین می‌رود).

 

• کامپوزیت: مستقیماً به دندان می‌چسبد، بنابراین تراش کمتری لازم است و ساختار طبیعی دندان بیشتر حفظ می‌شود. این امر خطر شکستگی دندان را کاهش می‌دهد و روش کم‌تهاجمی‌تری است.

 

• برنده حفظ دندان: کامپوزیت.

 

ایمنی و سلامت 

• آمالگام: حاوی جیوه است، اما سازمان‌هایی مانند ADA (انجمن دندانپزشکی آمریکا)، FDA و WHO معتقدند مقدار آزادشده بسیار کم بوده و برای اکثر افراد (از جمله کودکان و زنان باردار با احتیاط) بی‌خطر است. هیچ شواهد محکمی برای ارتباط با بیماری‌های جدی مانند آلزایمر یا اوتیسم وجود ندارد.

 

• کامپوزیت: بدون جیوه است و برخی آن را ایمن‌تر می‌دانند (هرچند ممکن است حاوی ترکیباتی مانند بیسفنول A باشد که تحقیقات ادامه دارد). عوارض معمولاً حساسیت موقت است.

 

نکته: ADA همچنان آمالگام را ایمن و مؤثر می‌داند، اما توصیه به جایگزینی غیرضروری نمی‌کند.

 

آمالگام یا کامپوزیت, پر کردن دندان با کامپوزیت

انتخاب آمالگام یا کامپوزیت به موقعیت دندان و بودجه بستگی دارد

 

کدام بهتر است؟

هیچ ماده‌ای به طور مطلق «بهتر» نیست؛ انتخاب شخصی‌سازی‌شده است:

 

• آمالگام را انتخاب کنید اگر: دندان عقبی دارید، حفره بزرگ است، جویدن قوی دارید، بودجه محدود است و ظاهر فلزی مهم نیست. هنوز در بسیاری موارد بادوام‌ترین گزینه است.

 

• کامپوزیت را انتخاب کنید اگر: دندان جلویی یا قابل مشاهده است، به زیبایی اهمیت می‌دهید، می‌خواهید ساختار دندان بیشتر حفظ شود، جیوه را ترجیح نمی‌دهید یا در کشورهایی هستید که آمالگام محدود شده.

 

با توجه به روند جهانی و پیشرفت کامپوزیت، آینده بیشتر به سمت کامپوزیت است. مطالعات نشان می‌دهند تفاوت دوام کمتر شده و رضایت بیمار از کامپوزیت بالاتر است (به دلیل زیبایی و راحتی).

 

آمالگام یا کامپوزیت, پر کردن دندان با کامپوزیت

آمالگام برای دندان‌های عقبی و فشار جویدن سنگین مناسب‌تر است

 

سوالات متداول

1. آمالگام بهتر است یا کامپوزیت؟

هیچ‌کدام به طور مطلق بهتر نیستند؛ بستگی به شرایط دارد:

آمالگام برای دندان‌های عقبی (آسیاب)، حفره‌های بزرگ، فشار جویدن سنگین، بودجه محدود و دوام طولانی (۱۰–۱۶+ سال) مناسب‌تر است.

کامپوزیت برای دندان‌های جلویی، زیبایی، حفظ بیشتر ساختار دندان طبیعی، عدم جیوه و حفره‌های کوچک تا متوسط بهتر است (دوام ۵–۱۵ سال با مواد جدید).

دندانپزشک بر اساس موقعیت دندان، اندازه پوسیدگی، عادات شما (مثل دندان قروچه) و ترجیحات تصمیم می‌گیرد.

 

2. آیا آمالگام به دلیل جیوه خطرناک است؟

سازمان‌هایی بهداشتی می‌گویند آمالگام برای اکثر افراد ایمن است؛ مقدار جیوه آزادشده بسیار کم بوده و سطوح آن در بدن معمولاً زیر حد سمی می‌ماند. هیچ شواهد علمی محکمی برای ارتباط با بیماری‌هایی مانند آلزایمر، اوتیسم یا MS وجود ندارد. با این حال، برای زنان باردار، کودکان کوچک یا افراد حساس به فلزات، احتیاط توصیه می‌شود. نگرانی اصلی زیست‌محیطی است (آلودگی آب و خاک).

 

3. آیا باید آمالگام‌های قدیمی‌ام را با کامپوزیت تعویض کنم؟

معمولاً خیر. اگر آمالگام سالم باشد، تعویض غیرضروری توصیه نمی‌شود (ممکن است ساختار دندان بیشتری برداشته شود و هزینه و ریسک افزایش یابد). فقط در صورت پوسیدگی جدید، شکستگی، نشتی یا مشکلات دیگر تعویض کنید.

 

4. چرا کامپوزیت گران‌تر است؟

کامپوزیت نیاز به مهارت بیشتر، تجهیزات (نور مخصوص)، مراحل چسبندگی و زمان طولانی‌تر دارد. آمالگام ساده‌تر و ارزان‌تر است (معمولاً نصف یا کمتر هزینه کامپوزیت).

 

5. آیا کامپوزیت واقعاً هم‌رنگ دندان است و نامحسوس؟

بله؛ دندانپزشک رنگ را دقیقاً با دندان‌های شما تطبیق می‌دهد. کامپوزیت برای دندان‌های جلویی یا لبخند ایده‌آل است و تقریباً دیده نمی‌شود. آمالگام فلزی/نقره‌ای است و در دندان‌های عقبی کمتر مشکل‌ساز است.

  

6. آیا کامپوزیت ممکن است تغییر رنگ دهد؟

بله؛ با گذشت زمان (به ویژه با مصرف چای، قهوه، سیگار یا مواد رنگی) ممکن است کمی زرد یا تیره شود، اما مواد جدیدتر مقاوم‌تر هستند. آمالگام تغییر رنگ نمی‌دهد.

 

سخن نهایی

بهترین تصمیم را دندانپزشک شما بر اساس معاینه، عکس رادیوگرافی، سابقه پزشکی و ترجیحات شخصی‌تان می‌گیرد. اگر نیاز به ترمیم دارید، حتماً با دندانپزشک مشورت کنید و گزینه‌ها را بحث کنید. بهداشت دهان مناسب (مسواک، نخ دندان، چک‌آپ منظم) ماندگاری هر دو ماده را افزایش می‌دهد.

 

گردآوری:بخش سلامت بیتوته 

 

نظرات کاربران

دیدگاهتان را بنویسید

نشانی ایمیل شما منتشر نخواهد شد. بخش‌های موردنیاز علامت‌گذاری شده‌اند *

یازده − 10 =

مشاهده بیشتر